Legal age estimation using orthopantomographies
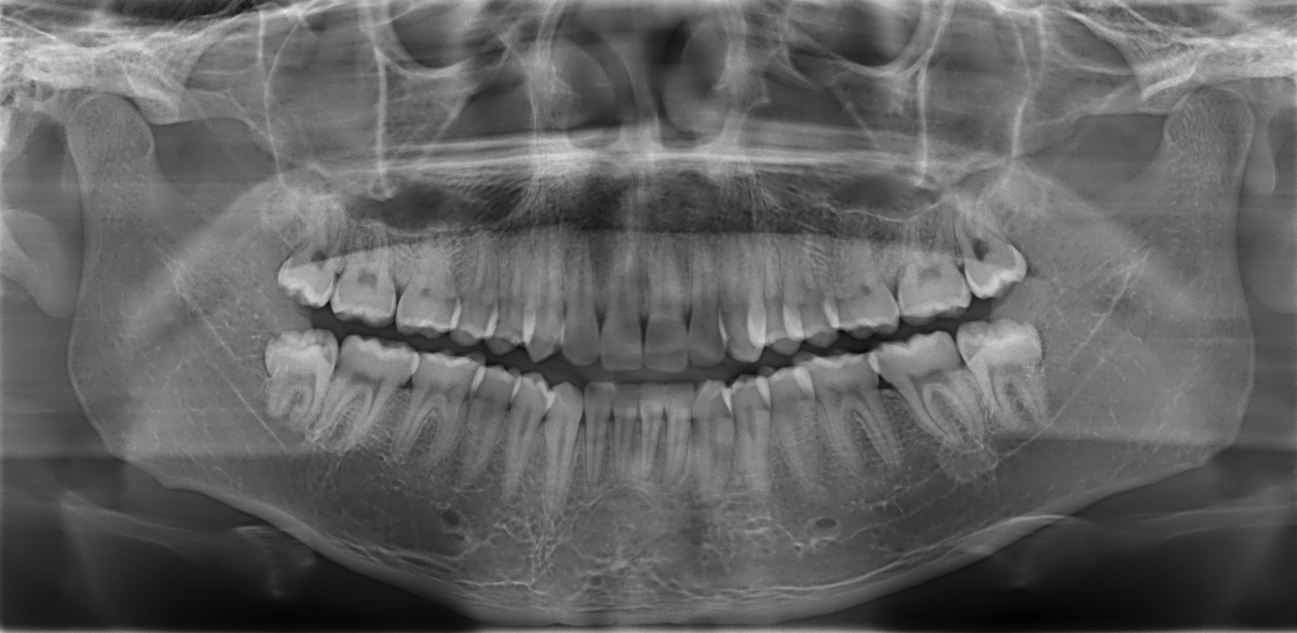
This is an example of an image used to train our model. The model has been trained with data from 12 countries and 4 continents so it can generalize to data from never seen samples. It gets a mean absolute error of 1.07 years and an accuracy of 88.38% (for the 18 years threshold) in test. Regarding never seen samples, it gets a mean absolute error of 1.21, 1.45, 1.36 and 1.51 years and an accuracy of 92.04, 81.97, 85.03 and 86.08% in four samples from Russia, Ethiopia, Egypt and Australia, respectively.
| Confidence | Percentage of minors correctly classified | Percentage of adults correctly classified | Accuracy |
|---|---|---|---|
| Original model | 82.42% | 92.30% | 88.38% |
| 60% | 93.90% | 81.14% | 86.20% |
| 80% | 96.72% | 70.67% | 80.99% |
| 90% | 98.24% | 62.05% | 76.39% |
| 95% | 98.59% | 54.12% | 71.75% |
These are the results of our model when estimating age as the minimum of a prediction interval for different confidence values. This app will return prediction intervals for all the shown confidence values so the minimum age concept can be applied when required.